Вакцины против каких болезней существуют в России
1796 . , , . , . -V. , . .
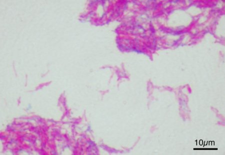
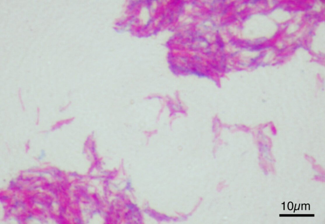
: . , , . . , (Mycobacterium bovis). , , . , . , 1921 , .
, 5 . , 7 14 .
. .
, . , B. Picornaviridae, Hepadnaviridae. B , 160 . , . , 12 , 1, 6 12 . , 18 .
, (Enterovirus C). , 5 . , . - , . 3 6 . 18, 20 14 .
. , .
Corynebacterium diphtheriae. - . , - . , . . 3 45 : 4,5 6 . 1,5 , 7 14 .
, (Clostridium tetani). , . , , . , 2, 4 6 . 6 16 , 10 .
:
MMR ,
, MMR. . , 9 15 . 15 6 . , 2,6 , , .
? . .
Varicella Zoster, . - . , , . , .
, , . MSD , , . , . , .
-? , !
, , . .
Источник: "hi-news.ru"
И будьте в курсе первыми!






